يقدم لكم موقعنا أقوى طريقة إزالة زجاج من الحلق ، و كيفية استخراج جسم غريب من مجرى التنفس ، و هل الزجاج يتحلل في الجسم ، و ابتلعت قطعة بلاستيك ، و كيفية التخلص من الطعام العالق في الحلق ، و قطعة معدنية في الأمعاء ، في حال بلع جسم غريب فمن المعتاد أنه سيُطرح خارج الجسم عبر الجهاز الهضمي في نهاية المطاف لكن قد تستقر بعض الأجسام في القناة التي تربط الحنجرة بالمعدة إِذا كان الجسم الغريب عالق في المريء فقد يكون من الضروري إخراجه ، لذلك اخترنا لكم أقوى طرق إزالة زجاج من الحلق .
إزالة زجاج من الحلق
أخطر الحالات عند ابتلاع الشظايا على النقيض من ذلك ، توجد العملات المعدنية والأزرار والإبر والدبابيس والأشياء الصغيرة الأخرى في أغلب الأحيان في الجهاز الهضمي عند الأطفال ، و فيما يلي طرق إزالة زجاج من الحلق .
- استخدم القرنفل على مكان الإصابة بالزجاج، لمدة يمكن أن تصل لـ12 ساعة، حتى تخرج رأس قطعة الزجاج من الجلد، ومن ثم يمكنك إزالتها بالملقط.
- تخدير الجلد بواسطة كمية من الثلج حتى يمكنك إزالة الزجاج، بعد تصلب الجلد بما يسمح بذلك.
- استخدام بيكربونات الصوديوم المخلوط بالماء على مكان قطعة الزجاج، وتركه لفترة قصيرة، وستلاحظ ظهور الزجاج على سطح الجلد بما يتيح سحبه بالملقط.
- وضع كمية من الغراء الأبيض على مكان الإصابة بالزجاج، وتركه لفترة ثم إزالته لتزيل قطعة الزجاج معه بسهولة.
- المكان المصاب بالزجاج لمدة 30 دقيقة حتى يمكنك إزالة الزجاج منه بسهولة، ولكن يجب الحرص على استخدام أدوات معقمة عند التعامل مع تلك الجروح لتفادى الإصابة بالبكتيريا أو الجراثيم الضارة، خصوصا بالنسبة للأطفال الذين قد يعانون من نقص المناعة مما يجعلهم أكثر عرضة للإصابة بالأمراض.
- وضع قطعة من البطاطا على المكان المصاب، وربطها بواسطة شريط من القماش، وستخرج قطعة الزجاج خلال وقت قصير.
كيفية استخراج جسم غريب من مجرى التنفس
في حال لم يتمكن المريض من السعال، أو شعرت بأن سعاله قد أصبح مكتومًا، أو وضعه التنفسي في تدهور يجب عليك التدخل فورًا من خلال القيام ببعض حركات المساعدة، وهي كالاتي :
- ربت على ظهر المريض بين الكتفين 5 مرات مستخدمًا كف يدك.
- قف وراء ظهر المريض واضغط على بطنه 5 مرات بطريقة ضغط البطن التي سنشرحها لاحقًا.
- كرر الخطوتين السابقتين بالتناوب حتى يتم خروج هذا الجسم الذي تم ابتلاعه.
هل الزجاج يتحلل في الجسم
- الزجاج لا يتحلل في الجسم، يمكن عمل صورة أشعة لتحديد حجمها وإمكانية ضررها، ولكنها قد تبقى فس الجسم ولا تضره ، حيث يحصل محفظة للزجاج وتنعزل عن الجسم مع الوقت أو يمكن أن يلتهب مكان الجرج ويلفظ الزجاة لوحده.
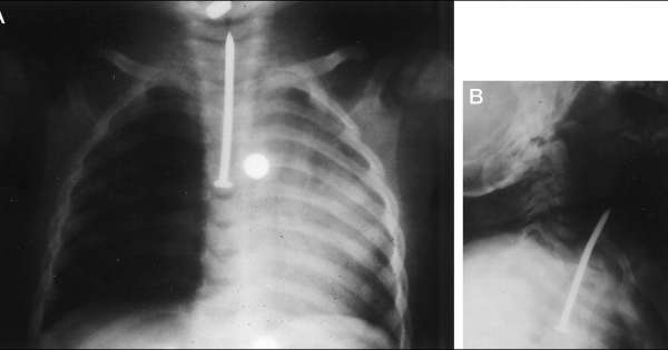
- تفاصيل القصة يرويها المريض الذي فضل عدم ذكر اسمه قائلاً: «في تسعينات القرن الماضي أصبت إصابة عمل، إذ كسر باب زجاج في المصنع الذي أعمل فيه على صدري، ونقلت على إثرها إلى مجمع السلمانية الطبي في ذلك الوقت».
- وأضاف في حديث قائلا لا أتذكر ما إذا أجريت أشعة لي في ذلك الوقت أو لا، إلا أنه تم خياطة الجرح الذي تسبب به الزجاج المتساقط علي، وكان ذلك أسفل الرقبة وقد أزيل الزجاج قبل الخياطة، إلا أنه لم يكن لنا علم بالزجاج الذي كان قد تسبب بكل هذا.
- وتابع قائلاً مرت الشهور والسنين وكنت بين فترة وأخرى أعاني من ضيق في التنفس إضافة الى ألم في الصدر، لم أكن حينها أعرف سبب ذلك.
ابتلعت قطعة بلاستيك
توجد بعض الأشياء الأكثر ابتلاعاً من قبل الأطفال والتي يجب على الأم الانتباه عند التعامل معها كيف لا تقع بين يدي الأطفال ومنها ما يلي :
- إذا كان في المعدة: وكان الشيء حادًا وخطيرًا يمكن إجراء جراحة لإخراجه.
- إذا كان المعدن في المريء: يُجري الطبيب جراحة منظار لإزالته أو يعطى أدوية باسطة للعضلات حتى يُسهل نزول المعدن من المريء.
- إذا وصل للأمعاء الغليظة: حينها يطمئن الطبيب فهو في طريقه للخروج من الجسم.
كيفية التخلص من الطعام العالق في الحلق
هناك عدد من الطرق يقترحها الطبيب يمكن أن تساعد في إزالة الطعام العالق من الحلق دون الاضطرار لزيارة المستشفى هي :
- تناول أي مشروب غازي، حيث تؤكد الأبحاث أن هذه الطريقة البسيطة يمكن أن تساعد في تفتيت الطعام وإزالة الانسداد.
- يعتبر الضرب 5 مرات على الظهر ومثلها على البطن وسيلة مساعدة لإزالة الانسداد في الحلق، وإذا كنت بمفردك يمكنك الضغط على البطن فقط.
- شرب خليط صودا الخبز أو بيكربونات الصوديوم بالماء. يساعد هذا المحلول في تفتيت الطعام العالق في الحلق.
- يمكن تناول بضع رشفات كبيرة من الماء، لإزالة الطعام العالق في المريء.
- تناول ملعقة كبيرة من الزبدة، حيث تساعد في ترطيب بطانة المريء والسماح للطعام العالق بالانزلاق بسهولة إلى المعدة.
- تناول قطعة من الموز، حيث يمكن أن تساعد بعض الأطعمة في دفع الطعام الباقي إلى أسفل المريء، وإذا كان لا يوجد موز في المنزل، اغمس قطعة من الخبز في الماء أو الحليب، وتناول لقيمات صغيرة.
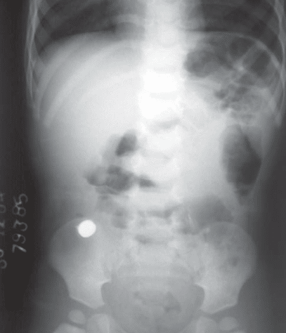
قطعة معدنية في الأمعاء
العملات المعدنية هي واحدة من العناصر الأكثر شيوعًا التي يبتلعها الأطفال ، إذا ابتلع طفلك عملة معدنية، اصطحبه إلى طبيب الأطفال أو إلى قسم الطوارئ في المستشفى قد تكون الأشعة السينية ضرورية للتأكد من أن العملة تمر عبر الجهاز الهضمي بشكل طبيعي.
- ممر الجهاز الهضمي هو ممر الأمان لأنه يعني تجاوز العملة المعدنية الجهاز التنفسي ووصولها للجهاز الهضمي وهنا يسهل التخلص منها عن طريق البراز بدون أي إجراءات أيا كان مكانها سواء في المعدة أو الأمعاء، وفي هذه الحالة لا يظهر على الطفل أي أعراض، حتى أن تنفسه يكون منتظم.
- و بخضوع الطفل لعمل أشعة “اكس” على البطن على أن يكون الطفل واقفا لتحديد مكانها فقط، خاصة أنها لن تتسبب في وجود أي مشكلة في الجهاز الهضمي، وأكد أنه لا يكاد يمر أسبوع إلا وقد تخلص الجسم منها.
- إذا علقت العُملة داخل موضع ما بالجسم ستظهر علامات على ذلك من العلامات القئ، وألم الصدر والبطن إذا كانت عالقة في المرئ أو المعدة. أما إذا علقت على جدار الأمعاء فقد تؤذي الجدار، ومن علامات وجودها في ذلك الجزء وجود صوت غريب عند إخراج البراز أو وجود نزيف معه. من الهام أن يلجأ الآباء إلى الطوارئ، وألا تتم محاولة إخراج العُملة بالإصبع لأن ذلك سيضر الطفل أكثر.
- عند حدوث هذه الحادثة، أو الشك في حدوثها، لا ينبغي الانتظار وإنما طلب الطوارئ على الفور، وإجراء الفحص بالأشعة السينية (إكس)، واتباع التعليمات الطبية.











